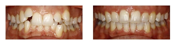
The team at Crow Canyon Orthodontics has created many smile transformations over the years. The before and after images below are all of the patients treated by Dr. Arash! Contact us today to see what we can do for your smile!
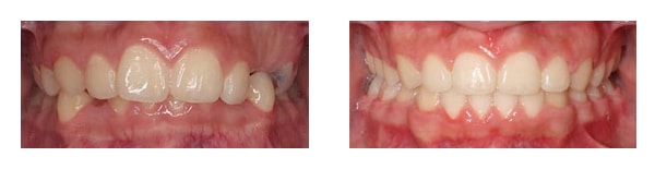
The team at Crow Canyon Orthodontics has created many smile transformations over the years. The before and after images below are all of the patients treated by Dr. Arash! Contact us today to see what we can do for your smile!